Root canal treatment with Komet’s FQ file system
Root canal treatments often represent the final opportunity for patients to save their natural teeth. As this procedure belongs to the standard range of treatments offered by general dentists, most cases are managed directly in general practices. Only when the situation becomes more complex are patients referred to specialized endodontists.The Komet FQ File System provides exceptional flexibility, supporting both general practitioners and experts such as Dr. Rafaël Michiels in achieving outstanding clinical outcomes. The specialist from Hasselt, Belgium, welcomed us to observe several of his recent procedures, allowing us to gain valuable insights and practical advice for successful endodontic treatments. While Dr. Michiels follows a well-defined base protocol, each case presents its own individual challenges — as illustrated by the two examples he shared with us. Continue reading to learn more about common obstacles in endodontics and how to overcome them effectively.
Patient A: Pulpal necrosis and limited mouth opening
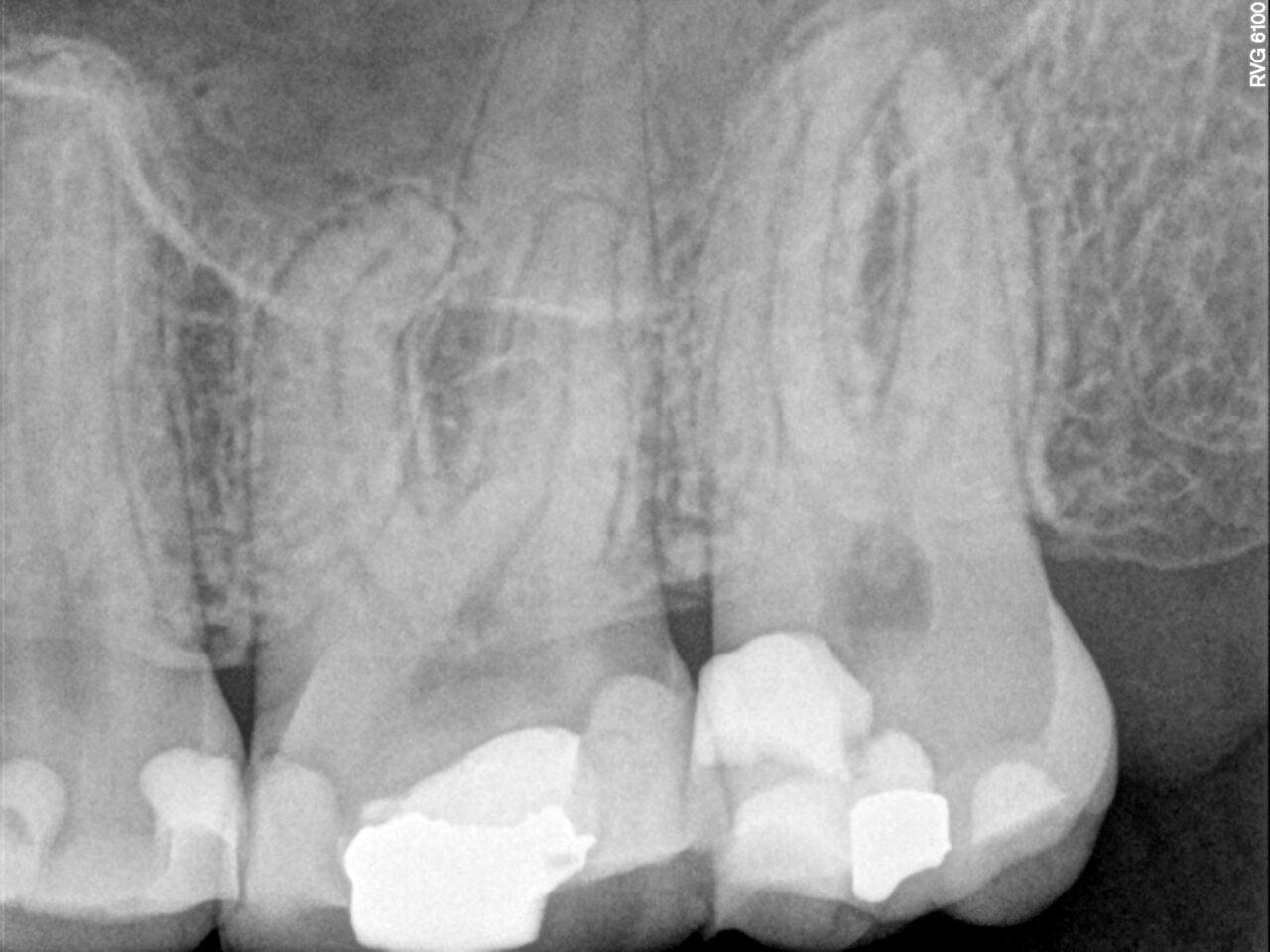
Radiograph of the teeth before endodontic treatment
The first patient was referred to Dr. Michiels in June 2023. A deep restoration had previously been performed on the mesial surface, and the attending dentist determined that a root canal treatment was required. However, at the initial consultation, the tooth still tested vital and the patient had no symptoms.
A few months later, the patient reported increasing pressure pain. The diagnosis then evolved to pulpal necrosis following the deep restoration, accompanied by acute symptomatic apical periodontitis, confirming that root canal therapy had become unavoidable.
Because the affected tooth was the upper left second molar, visibility was already limited. The challenge was further increased by the patient’s restricted mouth opening, which made the entire procedure more demanding from a practical standpoint.
Patient B: Pulpal necrosis and a zirconia crown
In this case, the patient presented with a zirconia crown on the affected tooth and was referred to Dr. Michiels by his general dentist. Zirconia crowns are more challenging to penetrate and can reduce visibility of the pulp chamber, the access cavity, and even the root canals themselves.
Radiographs taken prior to treatment revealed another complicating factor: calcified mesial canals. These are particularly hard to locate once the crown has been opened, requiring extra precision and care during the procedure.
Step-by-step: A deep dive into the endodontic procedure
An endodontic treatment begins with careful preparation of the treatment field. To minimize infection risk, Dr. Michiels isolated the area using a rubber dam spanning several teeth. This approach is especially beneficial for patients with limited mouth opening, as it enhances both access and maneuverability throughout the procedure.
Once isolation was complete, Dr. Michiels prepared the access cavity with Komet’s 837KR cylindrical bur, then refined it using a combination of the 851 Batt Bur and long neck bur.
Next, the FQ Opener was employed to identify and enlarge the canal entrances, followed by hand files to determine working length. The FQ Glider was then used to create glide paths, an essential step that reduces the risk of blockage and file fracture.
For patients with calcified mesial canals, Dr. Michiels emphasizes that one should never begin directly with rotary instruments. Instead, he recommends using small hand files, ensuring ample irrigation, and gently establishing a glide path manually before proceeding to rotary instrumentation.
Patient A: Step-by-step in pictures
Once the glide paths had been prepared using the FQ Glider, Dr. Michiels shaped the canals with the FQ 025 file (.04 taper) to working length, followed by the FQ 035 file (.04 taper) to finalize shaping. The selected taper depended on the obturation method planned for the case.
For single-cone obturation, the .04 taper is preferred, as it conserves more of the natural tooth structure. For warm obturation techniques, however, a .06 taper is usually the more suitable option.
Throughout the treatment, irrigation played a vital role. Sodium hypochlorite (5.25%) was used during shaping, followed by a final rinse with 40% citric acid before obturation. The treatment was completed using the single-cone technique with Komet BioSeal, ensuring an efficient and reliable result.
Inside the treatment room: A real-time look at the endodontic procedure
Modern endodontics: The impact of advanced file systems
Although root canal procedures are often regarded as lengthy and technically demanding, modern file systems and instrumentation now allow general dentists to perform these treatments more efficiently and comfortably in their own practices. The continuous evolution of endodontic technology empowers practitioners to expand their service range and provide comprehensive care tailored to each patient’s needs and clinical situation.
From dentist to dentist: 5 practical tips for your next endodontic case
- Isolate multiple teeth
While rubber dam isolation is often applied to a single tooth, isolating an entire quadrant or at least three to four teeth can be more effective. Positioning the clamp on a more distant tooth also improves visibility and maneuvering space. - Create a straight access cavity
Direct, straight access to the canals is essential. Although minimally invasive access is currently in vogue, in cases of limited mouth opening, a standard-sized cavity actually facilitates access and results in a better outcome. - Identify calcified canals
Detecting root canals is a crucial step in every endodontic procedure. Calcified canals are often harder to locate, but observing the color difference in dentin can help — they usually appear darker than surrounding tissue. Once identified, they can be gently negotiated using hand files or treated with citric acid. - Select the right instruments
From burs suited to the type of crown to a flexible file system like FQ that ensures efficient debris removal, choosing the right tools can save preparation time, improve workflow, and enhance patient comfort. - Invest in quality equipment
Regardless of the case complexity, illumination and visualization are key to achieving optimal results. Investing in tools such as microscopes, lighted loupes, or similar visual aids can make a significant difference — and their usefulness extends far beyond endodontics.
About the dentist
Dr. Rafaël Michiels studied dentistry at the University of Ghent. After his graduation in 2006, he chose to specialize in endodontics and completed hispostgraduate trainingin 2009. In 2013, Dr. Michiels started his own referral-based endodonticpracticein Hasselt, Belgium, where he performs root canal treatmentsonnumerouspatients. He is a certified member of the European Society of Endodontology(ESE),Belgian Association for Endodontology and Traumatology (BAET)as well as theDutch Association for Endodontology(NVvE)and has lectured at both national and international conferences.
Would you like more information?
Customer Service:
+442046200580
info@kometuk.com