Case Study Komet BioRepair: a putty designed for highly successful endodontic treatments
A dentist’s primary objective is to preserve their patients’ natural teeth. In complex situations such as partial pulpotomy, conservative approaches often play a decisive role in preventing full endodontic treatment and avoiding tooth loss.With BioRepair, Komet provides general dentists and endodontists with a reliable, easy-to-handle material that supports them effectively when treating highly delicate cases in which maintaining pulp vitality and encouraging regeneration are essential.
About the patient
The patient was initially seen in a general dental practice, where deep secondary caries located very close to the pulp of a lower left molar were identified. As preserving pulp vitality was the top priority, the patient was referred directly to Georg Benjamin’s specialised endodontic practice.
Following examination, Benjamin diagnosed symptomatic reversible pulpitis and began by performing a cold test to determine whether the pulp was still fully vital. As the response was positive, he opted for a partial pulpotomy to remove the deep caries and maintain the nerve’s vitality.
Treatment procedure
The procedure began with local anaesthesia of the treatment site. A strong advocate of rubber dam use, Benjamin then applied a rubber dam to ensure complete isolation and prevent moisture contamination.
As the affected molar already had a filling, the existing restorative material was removed with a diamond bur. He then eliminated the secondary caries using an EndoTracer, switching to a hand instrument for precise finishing of the remaining tooth structure.
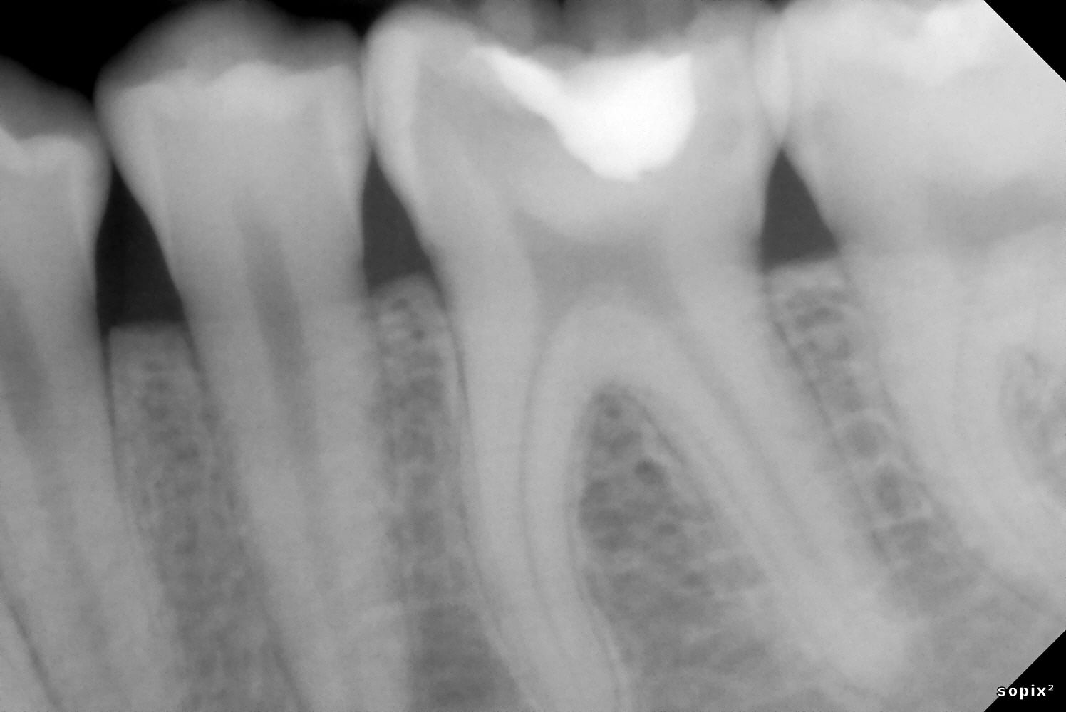
Once all secondary caries had been removed, a partial pulpotomy of the infected but still vital pulp was carried out. An access cavity was created with a bur to reach the mesial pulp horn. To open the horn, Benjamin used a sterile instrument to minimise infection risk. The pulp horn was removed with millimetre accuracy, ensuring an even surface suitable for the later placement of Komet BioRepair putty.
The site was then thoroughly disinfected by continuous rinsing with sodium hypochlorite. Prior to sealing, the enamel was carefully etched to improve adhesion.
Benjamin applied the Komet BioRepair putty to cover the prepared area and seal the cavity. To optimise bonding, he used a self-adhesive flow material over the BioRepair and sandblasted the region.
“In the past, dentists tended to carry out more root canal treatments instead of pulpotomies to preserve pulp vitality. One of the reasons was simply that there were fewer advanced products available. Nowadays, innovative, user-friendly materials such as Komet BioRepair enable dentists and endodontists to perform pulpotomies efficiently while maintaining tooth vitality.”
— Georg Benjamin, Endodontist
After selective etching, he shaped the composite using hand instruments and a fine brush. Tooth-coloured shades were applied to achieve natural depth and recreate a healthy tooth surface. The final step consisted of polishing and checking the bite. The positive outcome confirmed the complete success of the treatment.
Thanks to this approach, Benjamin preserved the patient’s tooth and avoided extraction. The BioRepair putty played a key role in maintaining vitality, while the use of colour layering ensured an aesthetically natural result.
The stages of a partial pulpotomy in pictures
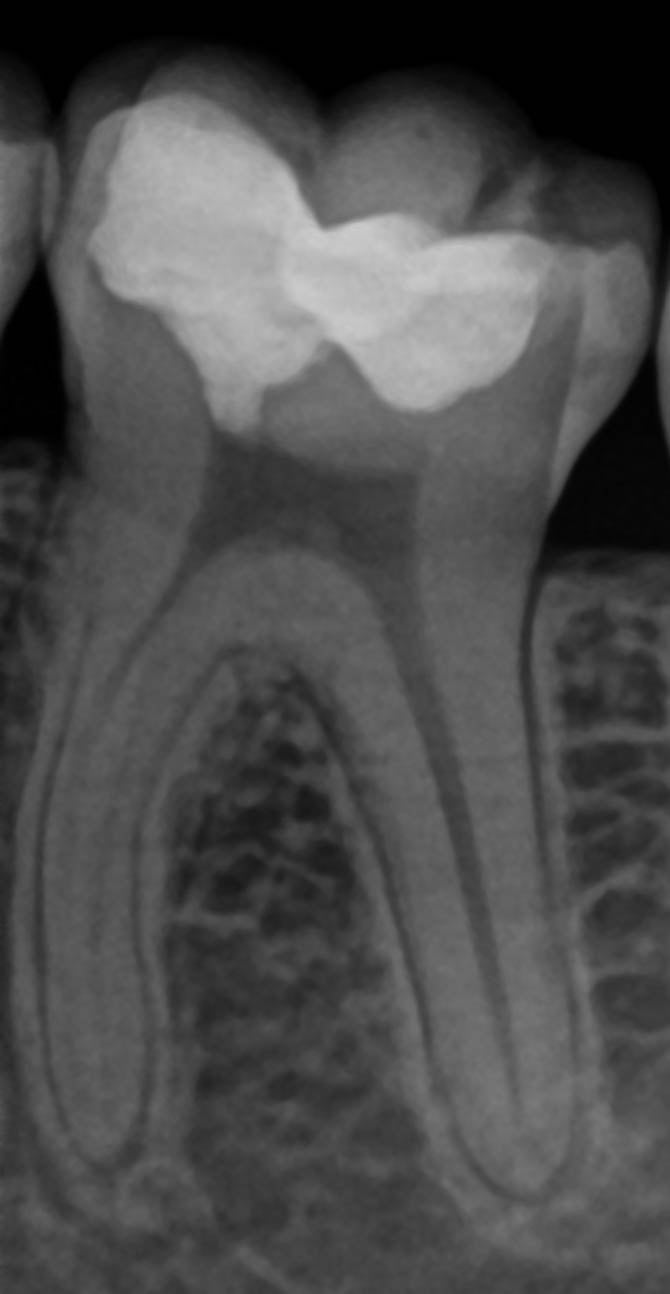
12-month follow-up
Digital volume tomography (DVT) and clinical photographs taken 12 months after treatment show a stable condition of tooth 36 following partial pulpotomy. Sensitivity testing, percussion testing, and circular probing of the surrounding gingiva confirm that both pulp vitality and periodontal health were successfully maintained thanks to Komet BioRepair.
JE VAIS METTRE DES IMAGES
Komet BioRepair: an important advancement in endodontics and general dentistry
Endodontics demands exceptional precision and care, particularly in demanding cases. The effectiveness of each treatment depends heavily on using the most reliable putty material available. Less efficient products can complicate procedures and hinder healing.
Komet BioRepair is a versatile solution suitable for almost all patient groups. It comes pre-mixed, making it easy to apply across eight indications. Its specialised formula promotes regeneration and supports long-term pulp vitality.
“There are not many putty materials available. Komet BioRepair is among the few, and it offers numerous benefits: from the intuitive dispenser to the pre-mixed consistency, through to strong adhesion and stability during placement. Altogether, BioRepair allows dentists and endodontists to work without concern.”
— Georg Benjamin, Endodontist
Step into the treatment room and watch a partial pulpotomy carried out in real timeJ
Practical advice: three tips from Georg Benjamin for mastering pulpotomies
1. For beginners: start with full pulpotomies to build confidence
In vital pulp therapy, initial pulpotomies can feel daunting, and partial procedures are particularly challenging as they demand greater precision…
Show more
2. Rubber dam isolation offers multiple advantages
Benjamin routinely recommends rubber dam isolation in endodontic treatment: it prevents moisture contamination and provides a controlled working environment…
Show more
3. Preparation is crucial for a successful pulpotomy
Having immediate access to all necessary instruments and materials is essential, particularly during longer procedures. Proper preparation streamlines the entire treatment…
Show more
About the dentist: Georg Benjamin
Georg Benjamin studied general dentistry at the Universities of Würzburg and Umeå. After graduating in 2010, he began working in an endodontic practice in Brieselang specialising in vitality preservation and microscopic treatment.
He later practised in several dental clinics in Berlin and Bayreuth, further focusing on endodontics.
In 2022, he opened his own endodontic practice, “Kofferdam”, in Berlin. He also trains dentists in pulp vitality preservation and the use of rubber dam isolation.
Would you like more information?
Customer Service:
+442046200580
info@kometuk.com